Robots in Schools: Former Children’s Commissioner Suggests Using Robots to Fill Seats for Absent...
Robots could be the solution to tackle the issue of absenteeism in schools, according to a report by the Centre for Young Lives. The executive chair, Anne Longfield, suggested that using robots to fill...
Lawsuit alleges AI chatbot of Daenerys Targaryen led to son’s suicide
The tragedy of a 14-year-old boy taking his life after engaging with an AI chatbot has sparked a lawsuit filed by his mother, Megan Garcia. The lawsuit alleges that the Character.AI chatbots, particularly those...
Why Hangovers Get Worse as You Get Older: Causes and Solutions
Many people have noticed that as they get older, their hangovers seem to get worse. The pounding headache, upset stomach, and general malaise that follow a night of drinking can feel more intense with...
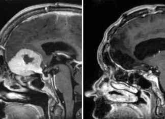
Innovative Brain Tumour Removal Through Eyebrows: A Breakthrough Surgery
A surgeon in Aberdeen, Anastasios Giamouriadis, has made a groundbreaking discovery in brain tumor removal. By adapting an existing technique, he can now remove large tumors through patients' eyebrows, leaving them with minimal scarring...
843-Year-Old Supernova Reveals ‘Zombie Star’ Still Exploding
A groundbreaking animated map has recently uncovered intriguing details about a mysterious "zombie star" hiding within the remnants of a supernova that illuminated Earth's sky over 800 years ago. This unique 3D visualization reveals...
Genetic Study Suggests Parents with Certain Gene More Likely to Have a Daughter
A recent genetic study suggests that some parents may be more likely to have daughters than sons due to subtle differences in their DNA. Researchers have identified a gene variant, rs144724107, that increases the...
Device zaps bacteria on skin to prevent infections
Scientists have created a new device called Bioelectronic Localized Antimicrobial Stimulation Therapy (BLAST) that aims to prevent skin infections by using electricity to zap harmful bacteria. This device is a patch that is applied...
Study Finds Wild Animals with Trauma Have Lower Survival Rates
Childhood trauma can have long-lasting effects on humans, and it turns out that wild animals can also experience adversity that impacts their behavior and survival rates. Researchers are interested in understanding how early life...
The Health Benefits of Eating Delicious Apples
We live in a time where apples are more diverse and delicious than ever before. Thanks to science, innovation, and dedicated researchers, we now have a plethora of options to choose from when it...
The Legacy of the Forgotten Developer of Tamoxifen: A Groundbreaking Breast Cancer Treatment
In the early 1960s, chemist Dora Richardson synthesized a chemical compound that became one of the most important drugs to treat breast cancer: tamoxifen. Although her name is on the original patent, until recently,...











